ANOMALIAS DENTÁRIAS
Macrodontia: caracteriza-se pelo
aumento do dente.
Microdontia: caracteriza-se pela diminuição do volume do dente.
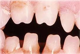
Cúspide supranumerária: É composta de esmalte e dentina normais. A fissura existente entre um cíngulo aumentado e a face lingual, é mais susceptível à cáries (restauração profilática)
Microdontia: caracteriza-se pela diminuição do volume do dente.
Cúspide supranumerária: É composta de esmalte e dentina normais. A fissura existente entre um cíngulo aumentado e a face lingual, é mais susceptível à cáries (restauração profilática)
Geminação: É a divisão do germe dentário, durante o período de evolução dando lugar à formação de uma coroa dupla com um conduto radicular único.

Fusão: É uma condição na qual dois germes dentários encontram-se unidos dando aspecto radiográfico de dois condutos e duas raizes.

Concrescência: É uma condição na qual dois ou mais dentes estão
unidos pelo cemento, após a formação da coroa.
* Pode ser devido à trauma ou quando da
formação dos dentes, acontecer uma reabsorção do osso interdental e ocorrer uma
deposição de cemento fusionando as raízes destes dentes.
Dens
in dente (Dens invaginatus): Aparece com maior
freqüência na região do cíngulo dos dentes incisivos superiores.
- Radiograficamente nota-se uma segunda cavidade
próxima da polpa, em forma de pêra invertida.
Hipoplasia de esmalte: Ocorre quando o esmalte dentário apresenta-se com desenvolvimento incompleto ou defeituoso, podendo ser devida a fatores locais, sistêmicos ou hereditários.
Dentinogênese imperfeita: Afeta o desenvolvimento do tecido dentinário e possui uma característica hereditária (dominante).
- Aspecto clínico: geralmente a coroa apresenta
uma translucidez de tom opalescente ou cinzenta.
- O esmalte é destacado com facilidade.
Dentes de Hutchinson: São anomalias congênitas verificadas nos dentes incisivos permanentes e nos molares.
Dilaceração: Trata-se de uma curvatura brusca da direção, principalmente da raiz e as vezes, da coroa de um dente. Pode ocorrer devido ao traumatismo durante a formação do dente.
Taurodontismo:
- Caracteriza-se por um aumento da câmara pulpar.
- Pode afetar a dentição decídua ou a permanente.(mais
comum)
- É mais frequente nos molares e pode ocorrer
nos pré-molares.
Pérola
de Esmalte
-É uma pequena masssa de esmalte, localizada
usualmente na área de furca.
-Pode ser difícil distinguir uma pérola de esmalte
de um pequeno supranumerário fusionado com a raiz.
-São mais frequentes nos dentes superiores, usualmente
na mesial ou distal do 2º e 3º Molar superior. ---Na mandíbula aparece comumente
por lingual ou vestibular.
Alterações
de número
-Displasia
ectodérmica
-Displasia
Cleidocranial
-Anodontia: refere-se à ausência da formação do germe dentário.
-Dentição
pré-decídua
-Raízes
supranumerárias
Displasia
ectodérmica
- É um distúrbio hereditário de estruturas
derivadas do ectoderma (caráter recessivo)
- Caracteriza-se pela ausência das glândulas sudoríparas
(total ou parcial), pêlos em quantidade reduzida, pele seca, fina e lisa e
anodontia total ou parcial (dentes de forma cônica)
Displasia
Cleidocranial
- Presença de múltiplos supranumerários não irrompidos
e ausência da Clavícula.
Anodontia
Ausencia da formação do germe dentário.
Ausencia da formação do germe dentário.
- Total: é rara e está ligada a displasia
ectodérmica.
- Parcial
Dentes supra-numerários e acessórios
- São considerados dentes:
- Supra-numerários: quando possuem a forma
normal.
- Acessórios: quando a forma não lembra a
anatomia dos dentes.
Raízes
Supranumerárias
Dentição
Pré-decídua
- São dentes que precedente a dentição decídua,
normalmente na região dos incisivos.
- São estruturas cornificadas, sem raízes
(capuz de esmalte e dentina ou apenas esmalte)
Alterações
de erupção
- Dentes inclusos
- Dentes impactados
- Extrusão
- Inclinação
- Migração
- Transposição
Dentes
inclusos
- São aqueles que por falta de força eruptiva,
não conseguem erupcionar.
Dentes
impactados
- São aqueles impossibilitados de erupcionar
devido a existência de uma barreira física em sua via de erupção.
Inclinação
- Pode ocorrer inclinação dos dentes:
- Mesial
- Distal
- Vestibular
- Lingual ou Palatina
Migração
- É a erupção de um dente em região distante ou
diferente da de origem.
- É comum nos 2º Pré-Molares inferiores após a
perda precoce do 1º Molar inferior.
Transposição
- É a alteração na posição dos dentes na
arcada.
Anomalias
Maxilares
- Fenda Palatina
- Macrognatia
- Micrognatia
- Tórus
Fenda
Palatina
- É a falta de fusão dos dois processos entre
si.
- Pode ser uni ou bi-lateral, completa ou
parcial (fator hereditário)
Macrognatia
É uma anomalia em que o desenvolvimento dos
ossos maxilares, ultrapassa o normal.
Micrognatia
Pode ser congênita (caráter dominante), ou
adquirida, e é decorrente da alteração de desenvolvimento dos côndilos,
originando um maxilar de tamanho menor que o normal.
Torus
- São exostoses ósseas que ocorrem na
superfície perióstica da maxila ou mandíbula em locais definidos.
- Clinicamente são elevações planas ou
globuladas , recobertas por mucosa normal e duras à palpação.
- Radiograficamente apresenta uma
radiopacidademaior que a do osso adjacente.
-Podemos encontrar na:
-Maxila: Torus Palatino
-Mandíbula: Torus Mandibular
Torus Palatino: Palatino: é frequentemente encontrado na linha mediana do
palato
Tórus Mandibular:É comumente encontrado na face lingual e nas áreas de
dentes pré-molar e molar.
















excelente, um belo resumo de anomalias radiologicas.adorei.
ResponderExcluirMuito bom!!
ResponderExcluirParabéns.
Muito Otimo.
ResponderExcluirMuito bom o resumo.
ResponderExcluirGostei muito.
Muito bom esse resumo, bem ilustrado porem vc pode classificar melhor de acordo com as anomalias (de forma, de número, de tamanho...). E uma observação. A dilaceração não é da própria raiz e sim da hipercementose do 35. Parabéns.
ResponderExcluir