Gengivoestomatite herpética primária:
A herpes simples é uma infecção que classicamente se divide em dois tipos.
O tipo 1 ocorre usualmente na parte superior do corpo humano (acima da
cintura), tipicamente na boca ou ao redor dela; já do tipo 2 ocorre na parte
inferior, sendo sua localização clássica as áreas genitais. Embora sejam
similares são causadas por vírus diferentes.
Em pacientes sintomáticos, a infecção primária produz um padrão de ulceração intra-oral típico conhecido como gengivoestomatite herpética primária. Os sintomas iniciais clássicos são febre e linfadenopatia, seguidos, durante alguns dias, por um envolvimento da mucosa gengival e oral. Em todos os pacientes com sintomas, a gengiva apresenta uma intensa alteração eritematosa dolorosa, exibindo, com frequência, cortes ou ulcerações na gengiva marginal livre. Pouco tempo depois, há o desenvolvimento de frágeis vesículas multifocais sobre toda a superfície mucosa intra-oral; as quais ulceram rapidamente. As ulcerações individuais geralmente têm poucos milímetros de diâmetro, mas formam um conglomerado e podem coalescer; além disso, podem-se assemelhar à estomatite aftosa menor, mas o envolvimento gengival intenso, febre e a presença de ulcerações na mucosa inserida direcionam a um diagnóstico diferencial.
O aciclovir (bochechado e engolido) poderá abreviar a duração dos sintomas e da atividade de infeção, se for administrado dentro dos três primeiros dias.
Dois novos medicamentos que apresentam biodisponibilidade aumentada são os antivirais fanciclovir e valaciclovir.
A terapia para atenuar os sintomas consiste em cloridrato de diclonina tópico e elixir de difenidramina e ibuprofeno ou acetaminofeno. As ulcerações geralmente são resolvidas em sete a 14 dias.
Em pacientes sintomáticos, a infecção primária produz um padrão de ulceração intra-oral típico conhecido como gengivoestomatite herpética primária. Os sintomas iniciais clássicos são febre e linfadenopatia, seguidos, durante alguns dias, por um envolvimento da mucosa gengival e oral. Em todos os pacientes com sintomas, a gengiva apresenta uma intensa alteração eritematosa dolorosa, exibindo, com frequência, cortes ou ulcerações na gengiva marginal livre. Pouco tempo depois, há o desenvolvimento de frágeis vesículas multifocais sobre toda a superfície mucosa intra-oral; as quais ulceram rapidamente. As ulcerações individuais geralmente têm poucos milímetros de diâmetro, mas formam um conglomerado e podem coalescer; além disso, podem-se assemelhar à estomatite aftosa menor, mas o envolvimento gengival intenso, febre e a presença de ulcerações na mucosa inserida direcionam a um diagnóstico diferencial.
O aciclovir (bochechado e engolido) poderá abreviar a duração dos sintomas e da atividade de infeção, se for administrado dentro dos três primeiros dias.
Dois novos medicamentos que apresentam biodisponibilidade aumentada são os antivirais fanciclovir e valaciclovir.
A terapia para atenuar os sintomas consiste em cloridrato de diclonina tópico e elixir de difenidramina e ibuprofeno ou acetaminofeno. As ulcerações geralmente são resolvidas em sete a 14 dias.

Ulcerações multifocais presentes na mucosa livre e inserida. Observe na gengiva intensos eritemas sem placa.
Mucosa palatina que tem numerosas ulcerações pequenas, as quais tendem a se aglomerar.
Observe o eritema e ulceração significativos da gengiva palatina.
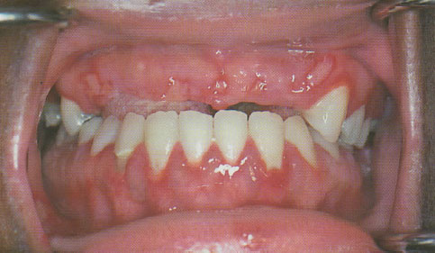
Ulcerações múltiplas na mucosa do lábio inferior. O paciente também apresenta outras esões tanto
na mucosa livre quanto na inserida, com envolvimento eritematoso e doloroso típicos da gengiva.
Herpes labial recorrente:
Após a infecção inicial, o vírus do herpes simples não permanece no sítio, mas pode sobreviver nos gânglios nervosos da área afetada. O DNA viral é incorporado ao DNA do hospedeiro, tornando-se impenetrável pelo ataque do sistema defensivo e as medicações. O vírus permanece latente em tal sítio, até que seja reativado, permitindo, assim, uma reinfecção. A predisposição para a reinfecção pode ser relacionado ao menor descrécimo da função imune.
Idade avançada, trauma, exposição excessiva a luz ultravioleta, gravidez, alergia, doenças respiratória, período menstrual e doença sistêmica são associados a frequência aumentada de recorrência.
O herpes simples tipo 1 aloja-se no gânglio trigeminal; na ativação, os lábios são os sítios mais frequentes. Em vários casos, as lesões são precedidas por sintomas prodrômicos que consistem em ardor, sensação de picada, sensibilidade, vermelhidão, calor localizado e parestesia da área afetada. As lesões surgem como numerosas vesículas preenchidas com um líquido claro. Essas vesículas rompem-se e desenvolvem uma crosta de coloração marrom que, com movimento, pode-se romper, exsudar e sangrar.
A duração dos sintomas e a disseminação do vírus serão reduzidas em alguns pacientes, se for administrado aciclovir em cápsulas durante o período prodrômico.
Apesar de não serem eficaz em pacientes imunocompetentes, a aplicação tópica de aciclovir ou penciclovir durante o período prodrômico pode acelerar a cicatrização e favorecer a resolução mais rápida dos sinais e sintomas associados.

Área eritematosa no lado direito do lábio inferior que se apresentou a menos de 1 dia. O paciente relato sensação de picada e ardor (período prodrômico)

Múltiplas vesículas e eritema no lábio direito inferior. Essa foto mostra o mesmo paciente da figura acima passado 24 horas.
Estomatite
herpética recorrente:
O herpes simples recorrente pode-se desenvolver em qualquer lugar sobre a superfície cutânea; contudo, ao cruzar a linha úmida dos lábios, penetrando na cavidade bucal, as lesões ocorrem em uma forma específica. Nos pacientes imunocomprometidos, o herpes simples recorrente intra-oral é observado na mucosa inserida no osso como numerosas vesículas pontilhadas que rapidamente ulceram. Usualmente, essas lesões apresentam-se como pequenas áreas avermelhadas de diâmetro milimétrico que se coalescem e, com o tempo, desenvolvem uma zona de fibrina amarelada. O palato é a localização habitual, mas também podem ocorrer lesões na porção vestibular da gengiva. Os sintomas são brandos; o tratamento não é necessário na maioria dos casos, e a cicatrização ocorre em cinco a 10 dias.
O herpes simples recorrente pode-se desenvolver em qualquer lugar sobre a superfície cutânea; contudo, ao cruzar a linha úmida dos lábios, penetrando na cavidade bucal, as lesões ocorrem em uma forma específica. Nos pacientes imunocomprometidos, o herpes simples recorrente intra-oral é observado na mucosa inserida no osso como numerosas vesículas pontilhadas que rapidamente ulceram. Usualmente, essas lesões apresentam-se como pequenas áreas avermelhadas de diâmetro milimétrico que se coalescem e, com o tempo, desenvolvem uma zona de fibrina amarelada. O palato é a localização habitual, mas também podem ocorrer lesões na porção vestibular da gengiva. Os sintomas são brandos; o tratamento não é necessário na maioria dos casos, e a cicatrização ocorre em cinco a 10 dias.

Pequenas ulcerações dispersas sobre o palato duro cobertas por fibrina de coloração amarela.
fonte: Atlas colorido de Patalogia oral clínica - Neville




quebmedicameto usar ? Um antimicotico,antimicrobiano ?
ResponderExcluirquebmedicameto usar ? Um antimicotico,antimicrobiano ?
ResponderExcluirAciclovir O/
ResponderExcluirTRATAMENTO PERMANENTE DO VÍRUS DE HERPES O vírus do herpes simplex é um vírus contagioso que pode ser transmitido de pessoa para pessoa através de contato direto. As crianças geralmente contraem o HSV-1 por contato precoce com um adulto infectado. A infecção pelo HSV-1 pode ocorrer a partir de interações gerais, como comer dos mesmos utensílios, compartilhar protetor labial ou beijar. O vírus se espalha mais rapidamente quando uma pessoa infectada está passando por um surto. Além disso, é possível obter herpes genital a partir do HSV-1 se o indivíduo tiver tido herpes labial e tiver realizado atividades sexuais durante esse período. O HSV-2 é contraído através de formas de contato sexual com uma pessoa que tem HSV-2. Estima-se que cerca de 20% dos adultos sexualmente ativos nos Estados Unidos tenham sido infectados com HSV-2, de acordo com a Academia Americana de Dermatologia (AAD). (AAD) Embora as infecções por HSV-2 sejam disseminadas ao entrar em contato com uma ferida de herpes, a AAD relata que a maioria das pessoas contrai HSV-1 de uma pessoa infectada que é sintomática ou não tem feridas. ter outra infecção sexualmente transmissível (DST) com sistema imunológico enfraquecido
ResponderExcluirTRATAMENTO
O herpes é uma doença grave e recorrente que não pode ser curada por medicamentos ou injeções pelos médicos americanos, mas a melhor maneira de lidar com o herpes é tomando remédios naturais para ervas, eu li sobre DR JAMES, o grande médico herbalista que cura do herpes com seu poderoso remédio herbal. entrei em contato com ele para saber como ele pode me ajudar e ele me disse para nunca se preocupar que me ajudaria com as ervas naturais de Deus! depois de dois dias em contato com ele, ele me disse que a cura estava pronta e a enviou para Eu via o UPS SPEED POST e me pegou depois de 3 dias! Eu usei o remédio como ele me instruiu (MANHÃ E NOITE) e fui curado! é realmente como um sonho, mas estou muito feliz! para as pessoas que sofrem das seguintes doenças, câncer, hipotireoidismo, herpes, DPOC, HIV, artrite, HPV, infecções, doença hepática, doenças autoimunes, doença de Parkinson, lúpus e mais devem contatá-lo para obter seu remédio herbal, porque eu sou um testemunho vivo e eu fui curado de herpes e seu remédio é legítimo. Enviei-lhe o que ele pediu e ele me enviou o remédio que tomei por 3 boas semanas e hoje estou aqui com resultado negativo. quando fui fazer o teste, fiquei muito feliz depois de passar pelo medicamento.
CONTATO DR JAMES PARA O E-MAIL DE CURA PERMANENTE: drjamesherbalmix@gmail.com LIGUE OU APLIQUE-O NO APLICATIVO +2348152855846
HERPES é uma doença grave e recorrente que não pode ser curada por medicamentos ou injeções pelos médicos americanos, mas a melhor maneira de lidar com o Herpes é tomando remédios naturais para ervas, eu li sobre DR JAMES o grande médico herbalista que curou do herpes com seu poderoso remédio herbal. Entrei em contato com ele para saber como ele pode me ajudar e ele me disse para nunca se preocupar se ele me ajudaria com as ervas naturais! Depois de dois dias em contato com ele, ele me disse que a cura estava pronta e a enviou através do UPS SPEED POST e chegou a mim depois de 3 dias! Eu usei o remédio como ele me instruiu (MANHÃ e NOITE) e eu fui curado! É realmente como um sonho, mas estou muito feliz! para as pessoas que sofrem de herpes e outras doenças devem contatá-lo para obter seu remédio herbal, porque sou um testemunho vivo e fui curado de herpes e seu medicamento é legítimo. enviei o que ele pediu e ele me enviou o remédio que tomei por 3 boas semanas e hoje estou aqui com resultado negativo. quando fui fazer o teste, fiquei muito feliz depois de passar pelo medicamento. você pode contatá-lo através do e-mail drjamesherbalmix@gmail.com ou pelo número do whatsapp: +2348152855846
ResponderExcluirei, amigos apenas querem compartilhar isso,
ResponderExcluir"Eu tenho HSV 2 desde os 22 anos e tenho mais ou menos 26 anos. Valtrex ficou disponível. Eu estava tomando 1 grama por dia (um pouco consistente) até cerca de 1,2 anos atrás. Foi ótimo e não tive um único surto em quase Por seis meses, meus dois ex-ex-combatentes não pegaram o vírus.Infelizmente, desenvolvi uma reação alérgica por uso prolongado e não posso mais tolerá-lo sem grandes erupções cutâneas, prurido intenso, hipersensibilidade e também com queda de cabelo. '' Estou tentando o Famvir, mas até agora estava de volta a ter surtos. até um dia fiel eu estava navegando na Internet procurando remédio no HERPES e vi comentários de pessoas falando sobre como o DR ogbekhilu os curou, quando o contatei, ele me deu esperança e envie-me um medicamento à base de plantas que tomei e funcionou seriamente para mim, sou uma pessoa livre agora sem nenhum problema, meu resultado no HERPES saiu negativo, agora estou curado permanentemente.
contate-o com as seguintes informações
E-mail: (drogbekhiluherbalhome @ gmail. Com)
O que é o aplicativo: (+ 2348102460821)
Ele também pode curar tantas doenças como
{1} HIV e AIDS {2} Diabetes {3} Epilepsia {4} Câncer de Sangue {5} HPV {6} ALS {7} vírus do herpes] 8] pós gotejamento nasal (9) telhas (10) herpes labial (11) disfunção erétil (12). Aumento do pênis (13.) Creme de aperto virginal (14.) Se você quer um filho (15.) Se você quer seu ex-marido.